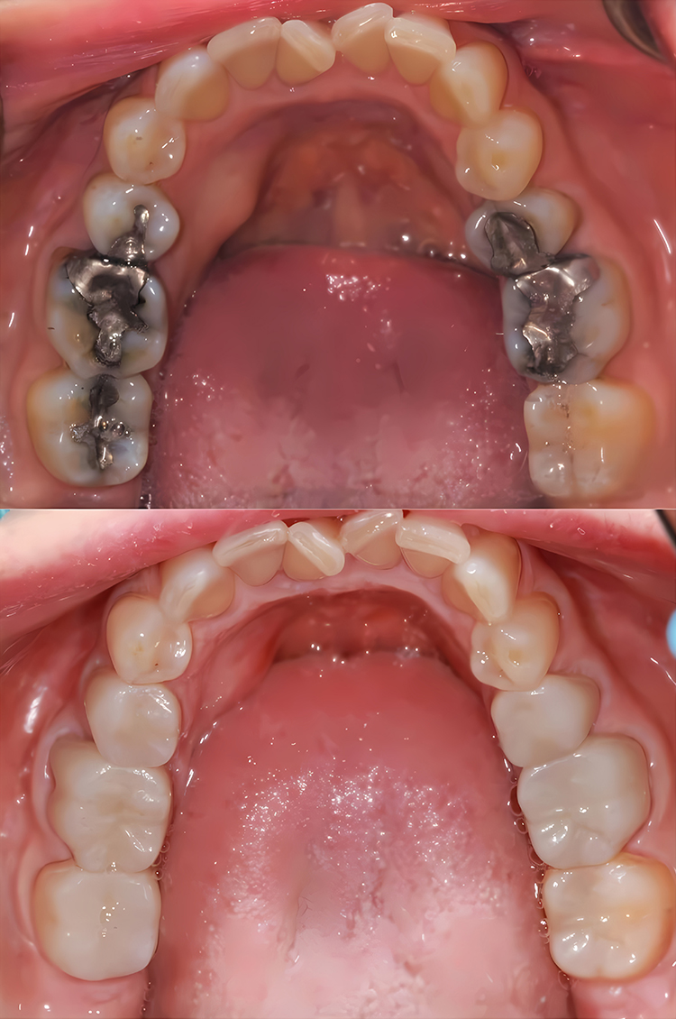
Amalgam fillings are more commonly known as silver fillings because of their appearance. They are used in various dental procedures and help with tackling tooth decay. However, you may be concerned about the safety of this filling type.
If you’re looking for information about the safety of amalgam fillings, your search ends now. Here is what you need to know.
What Are Amalgam Fillings Made Of?
Amalgam fillings were introduced in the 1830s and have been used for more than 200 years. They are made of a mixture of different metals and serve as moldable substances. The filling is added to the space left by the tooth decay and hardens later.
Fillings are primarily used for tackling cavities and making eating food easier later in life. Amalgam fillings are soft and serve as a plastic-type component.
Why Do Dentists Use Amalgam Fillings As The Top Choice?
Most dentists use amalgam fillings as the first choice for cavities. Typically, you will have to ask for a different type of filling if you don’t want an amalgam filling. Here are the top reasons why dentists use this material:
-
Cheap
Amalgam fillings are the least expensive filling type on the market. This is why many clinics invest in this material. Other mediums with better lifespans and safety are highly expensive.
The price can be greater than ten times, making amalgam fillings better for dental procedures. It allows the price of the clinical procedure to be reasonable for you.
-
Readily Available
Another reason why dentists use amalgam fillings is that they are readily available. This medium is easily accessible, and shortages rarely occur in the market. The filling is also present at most clinics, unlike other filling composites.
-
Ensures Quick Process
Amalgam fillings are easier to work with than other mediums for fillings. They can be easily added to the cavity, and shaping it is also hassle-free. So the filling procedure is relatively quick because of this material.
Are Amalgam Fillings Safe?
Amalgam fillings are safe but not as much as other mediums on the market. This is mainly because the filling can cause mercury toxicity or poisoning within your body. Small amounts of mercury, such as 2 to 20 micrograms, may be released by the filling per day.
The toxic material is mainly released when you perform actions such as chewing. Remember that the normal range for daily exposure is up to 45 micrograms per day. So safety depends on the amount of mercury released.
If you have a habit of gum chewing, it is better to avoid it. This is because it can cause your filling to release more mercury. If you monitor the mercury level within your body, you can easily control the factor and enjoy safer life after getting amalgam filling.
Closing Thoughts
This is your complete guide to the safety of amalgam fillings. The medium is relatively safe, which is why many practitioners use it for routine procedures. However, the risk of mercury poisoning is present when getting this filling.
Please feel free to get in touch with our awesome staff if you have any questions about Amalgam Fillings replacement.





