Wisdom teeth usually appear in the late teenage years or early twenties and are the last teeth to erupt. There are some lucky people who have no issues with them, however, they can be responsible for causing misalignment or crowding of the other teeth in your mouth which can lead to significant discomfort. Here are some facts about these teeth and their extraction.
Facts that you should be aware of regarding wisdom teeth:
Fact #1
Wisdom teeth are the last of the permanent teeth to erupt. They are also called third molars
Fact #2
Wisdom teeth usually appear in the late teenage years or early twenties. Most people will have four wisdom teeth. They can be responsible for causing misalignment or crowding of the front teeth and for this reason some people opt to remove them.
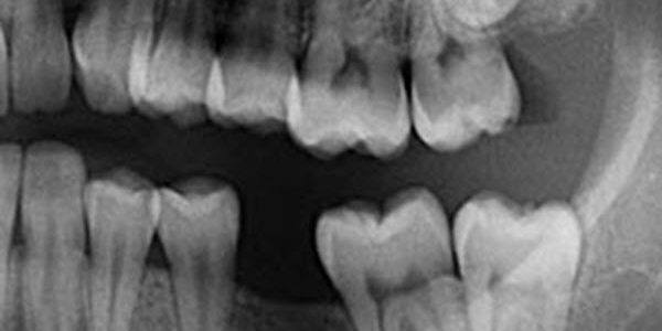
Fact #3
In some cases, wisdom teeth never erupt through the gums and are referred to as impacted (or impacted third molars). Impacted wisdom teeth are typically blocked from erupting due to the positioning of other teeth. If they remain impacted, they can cause pain and inflammation and infection may occur. In some cases, impacted teeth can cause damage to adjacent teeth. For these reasons, it is often necessary to have them surgically removed. Your dentist can advise the most appropriate time for extraction.
Fact #4
Depending on your specific circumstances, wisdom teeth may be surgically extracted by your dentist in around 20 – 30 minutes. You’ll then need to spend some time under supervision in recovery as the sedation wears off.
If you have pain in the area of your wisdom teeth or are concerned that they have not erupted, make an appointment with one of our team at Oakstone Dental today to discuss your treatment options.
Any ideas why they are called wisdom teeth? let us know what you think on our Facebook page!







